داء أديسون Addison’s disease: التعريف والأسباب والأعراض والعلاج
داء أديسون عبارة عن اضطراب يحدث عندما لا يستطيع الجسم إنتاج الكمية الكافية من هرمونات معينة تنتجها الغدة الكظرية، حيث يحدث فيه أن تنتج الغدتان الكظريتان كمية قليلة جداً من الكورتيزول وغالباً يتأثر إنتاج الألدوستيرون أيضاً فتصبح مستوياته في الدم غير كافية.
يدعى هذا الداء أيضاً بـ “قصور الكظر adrenal insufficiency “.
يمكن أن يحدث هذا الداء في أي مرحلة عمرية ويصيب كلا الجنسين وقد يكون مهدد للحياة.
يتضمن علاج هذا الداء تناول الهرمونات لمعاوضة القصور الحاصل بإنتاج الغدد الكظرية لمحاكاة التأثيرات المفيدة للهرمونات المفرزة طبيعياً.
ما أسباب داء أديسون؟
تحصل معظم حالات داء أديسون بسبب مشكلة في الغدتين الكظريتين بحد ذاتها (قصور كظري أولي). وتشكل أمراض المناعة الذاتية حوالي 70% من إجمالي الحالات، حيث يقوم الجهاز المناعي -عن طريق الخطأ- بمهاجمة الغدتين الكظريتين ما يسبب تدمير الطبقة الخارجية من الغدتين.
من الممكن أن تؤذي العدوى المستمرة لفترة طويلة –كما في السل والعوز المناعي المكتسب (الإيدز) وبعض أنواع العدوى الفطرية- الغدتين الكظريتين. كما من الممكن أن تسبب الخلايا السرطانية المنتشرة من أجزاء أخرى من الجسم داء أديسون إذا ما توضعت في الغدد الكظرية.
نعزو داء أديسون في حالات أقل شيوعاً للقصور الكظري الثانوي الحاصل بسبب حصول مشكلة ما في الغدة النخامية أو مشكلة في الوطاء (تقع هاتان الغدتان في مركز الدماغ، وتنتجان هرمونات تعمل على تغيير كمية إنتاج الهرمونات الأخرى في بقية الجسم زيادةً أو نقصاناً، فعلى سبيل المثال: تفرز الغدة النخامية هرمون الـ ACTH والذي ينظم إنتاج الكورتيزول في الغدد الكظرية، فتتوقف الغدد الكظرية عن إفراز هرموناتها في حال انخفاض مستويات ACTH في الدم).
ويعتبر الاستخدام غير الصحيح للهرمونات الستيروئيدية (مثل البردنيزون) أحد مسببات القصور الكظري الثانوي. في حين تشمل الأسباب الأقل شيوعاً على أورام الغدة النخامية وتأذيها خلال الجراحة أو بسبب الإشعاع.
الانتشار
معدل الإصابة بالحالة
أ- في الولايات المتحدة الأمريكية
يكون انتشار هذا الداء في الولايات المتحدة الأمريكية بمعدل 40-60 حالة لكل 1,000,000 شخص.
ب- عالمياً
يعتبر داء أديسون نادر الحدوث. في حين سجلت التقارير معدل انتشاره في بريطانيا بمعدل 39 حالة لكل 1,000,000 شخص، وفي الدنمارك بمعدل 60 حالة لكل 1,000,000 شخص.
الإمراضية والوفاة
ترتبط الإمراضية والوفيات لدى الأشخاص المصابين بداء أديسون بفشل التشخيص أو تأخره أو فشل التعويض المناسب للهرمونات القشرانية السكرية والمعدنية.
يمكن أن تسبب نوبات داء أديسون الحادة acute addisonian crisis الوفاة إذا لم تعالج فوراً. حيث يمكن أن يتحرض ذلك إما بسبب مشكلة كالنزيف الكظري أو في حال تداخل مشكلة حادة مع القصور الكظري المزمن أو الغير معالج بشكل ملائم.
في داء أديسون المزمن بطيء البدء، قد تحدث أعراض منخفضة السوية وغير نوعية بشكل ملحوظ، إلا أن هذه الأعراض قد تكون مضعفة للمريض.
تتطور أعراض داء أديسون ببطء عادةً، على مدى عدة أشهر غالباً، ويمكن أن تشمل ما يلي:
- 1. ضعف عضلي وتعب.
- 2. فقدان الوزن ونقص بالشهية.
- بشرة داكنة (فرط التصبغ hyperpigmentation).
- انخفاض ضغط الدم، و حتى الإغماء.
- الشراهة للملح.
- انخفاض سكر الدم.
- الغثيان أو الإسهال أو القيء.
- آلام في العضلات أو المفاصل.
- الهيوجية وعدم الراحة.
- اكتئاب.
فقدان شعر البدن أو العجز الجنسي عند النساء.
كما يمكن أن تظهر علامات وأعراض هذا الداء فجأة أحياناً. وتشمل الأعراض والعلامات في الفشل الكظري الحاد (النوبة الكظرية):
- ألم في أسفل الظهر أو في البطن أو الساقين.
- قيء وإسهال شديدين (مما يؤدي إلى التجفاف).
- انخفاض ضغط الدم.
- فقدان الوعي.
- ارتفاع البوتاسيوم (فرط بوتاسيوم الدم).
الفحوصات والتشخيص
يأخذ الطبيب بداية تاريخ المريض الطبي بالإضافة للعلامات والأعراض. وفي حال الشك بوجود داء أديسون يطلب الطبيب من المريض إجراء بعض الفحوصات التالية:
1. فحص الدم: يعطي قياس مستويات الصوديوم والبوتاسيوم والكورتيزول والـ ACTH الدموية للطبيب مؤشر بدئي عن وجود قصور كظري مسبب لأعراض المريض وعلاماته في حال وجودها، كما يمكن أن يجرى في الفحص الدموي قياس مستوى الأضداد المرتبطة بداء أديسون المناعي الذاتي.
2. فحص تحفيز الـ ACTH: يتضمن الفحص قياس مستويات الكورتيزول في الدم قبل وبعد حقن ACTH صنعي (يقوم الـ ACTH بتحفيز الغدد الكظرية عند المريض لإنتاج الكورتيزول، فإن كانت الغدد الكظرية متأذية يظهر هذا الفحص محدودية استجابة الغدد الكظرية للـ ACTH الصنعي أو عدم حصول استجابة أساساً).
3. فحص انخفاض السكر المحرض بالأنسولين: يقترح الطبيب هذا الفحص في حال احتمال وجود مشكلة في الغدة النخامية أدت لحصول القصور الكظري (القصور الكظري الثانوي). ويتضمن الفحص تحري مستوى السكر في الدم (الغلوكوز الدموي) ومستويات الكورتيزول عدة مرات بفواصل زمنية مختلفة بعد إعطاء حقنة من الأنسولين (يحدث هبوط بمستويات الغلوكوز في حين تزداد مستويات الكورتيزول عند المرضى الأصحاء).
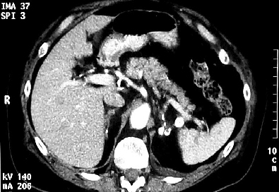
4. التصوير: يمكن أن يطلب الطبيب من المريض إجراء تصوير مقطعي محوسب للبطن (CT scan) لمعرفة حجم الغدد الكظرية والبحث عن شذوذات أخرى يمكن أن تكون سبباً في حدوث القصور الكظري. كما يمكن أن يقترح الطبيب إجراء مسح بالرنين المغناطيسي للغدة النخامية في حال أشار الفحص لوجود قصور كظري ثانوي.
ما معالجة داء أديسون؟
تضبط المعالجة التعويضية بالكورتيكوستيروئيدات (الستيروئيدات القشرية) الأعراض المسببة لهذا الداء. ويستخدمها المريض عادة طيلة حياته.
يجب عدم إغفال أخذ الجرعات في هذه الحالة لأن التفاعلات الناتجة عن هذا الداء قد تكون مهددة للحياة.
يمكن أن يزيد الطبيب الجرعة في حالة حدوث:
- عدوى.
- إصابة.
- الإجهاد.
- جراحة.
يجب حقن الهيدروكورتيزون مباشرةً في حال حدوث الشكل الحاد من القصور الكظري (والذي يدعى “النوبة الكظرية”). كما يكون هناك حاجة في هذه الحالة عادة لمعالجة انخفاض ضغط الدم الحاصل.
يعلم بعض الأشخاص المصابين بهذا الداء كيفية حقن أنفسهم بحقن طارئة من الهيدروكورتيزون في حالات الإجهاد. كما يحملون معهم دائماً رموز تعريف طبية (بطاقة أو سوار أو عقد) والتي تبين حالته كونه مصاباً بقصور الكظر. كما يجب أن تتضمن نوع الدواء والجرعة اللازمة في الحالة الإسعافية.
التوقعات (الإنذار)
يستطيع معظم المرضى المصابين بداء أديسون أن يحيوا حياةً طبيعية باستخدام المعالجة الهرمونية.
المضاعفات المحتملة
تحدث المضاعفات نتيجةً لتناول كميات قليلة (أقل من المطلوب) أو كبيرة من الهرمون الكظري.
كما يمكن أن تحصل المضاعفات نتيجةً للأمراض التالية:
- السكري.
- التهاب الغدة الدرقية لهاشيموتو (التهاب الدرقية مزمن).
- قصور جارات الدرق.
- قصور المبيض أو فشل الخصى.
- فقر الدم الوبيل.
- السمية الدرقية.
متى يجب الاتصال بالمختص الطبي
يجب على المريض الاتصال بمقدم الرعاية الصحية في حال:
- عدم القدرة على منع خروج الدواء من الجسم بسبب القيء.
- وجود إجهاد كالعدوى أو الإصابة أو الرضح أو التجفاف (قد يحتاج المريض في هذه الحالة لضبط الأدوية في جسمه).
- زيادة مستمرة بالوزن.
- تطور أعراض جديدة.
- تطور علامات متلازمة كوشينغ (إذا كان المريض تحت العلاج).
بحال وجود أعراض نوبة كظرية فيجب على المريض إسعاف نفسه بحقنة من الدواء الموصوف، ويجب الذهاب لأقرب غرفة طوارئ في حال عدم توفر الحقنة.
حيث تشمل أعراض النوبة الكظرية على:
- ألم بطني.
- صعوبة في التنفس.
- دوخة أو دوار خفيف.
- انخفاض ضغط الدم.
- نقص في الوعي.
