الانسداد المعوي Intestinal Obstruction
يحدث الانسداد المعوي عندما يوجد انسداد في الأمعاء الدقيقة أو الغليظة. حيث يمنع هذا الانسداد مرور السوائل أو الطعام المهضوم، وقد يكون هذا الانسداد جزئياً أو تاماً. يوجد العديد من الأسباب المحتملة وراء الانسداد المعوي، ولا يمكن الوقاية من الكثير من تلك الأسباب. التشخيص والعلاج الباكر أمران في غاية الأهمية، حيث قد يشكل الانسداد غير المعالج تهديداً للحياة.
ما هي أسباب الانسداد المعوي ؟
يرجعُ انسداد الأمعاء لواحدة من تلك الآليتين:
- · سبب ميكانيكي، ما يعني وجود شيء ما يسد الطريق.
- العِلّوص ileus، وهي الحالة التي لا تعمل الأمعاء فيها بشكلٍ صحيح، دون وجود مشكلة بنيوية تسببه.
العلوص الشللي (والذي نسميه الانسداد الكاذب) هو واحد من أهم أسباب الانسداد المعوي عند حديثي الولادة والأطفال.
تشمل أسباب العلوص الشللي ما يلي:
- · جراثيم أو فيروسات تسبب العدوى المعوية (التهاب المعدة والأمعاء).
- · اضطراب توازن المواد الكيميائية أو الكهارل أو المعادن (كما في انخفاض مستويات البوتاسيوم).
- · مضاعفات الجراحة البطنية.
- · انخفاض الجريان الدموي إلى الأمعاء (إقفار المساريق).
- · عدوى داخل البطن (كما في التهاب الزائدة).
- · مرض كلوي أو رئوي.
- · استخدام أدوية معينة، لاسيما المسكنات.
- وتشمل الأسباب الميكانيكية للانسداد المعوي ما يلي:
- · الالتصاقات أو النسيج الندبي الذي يتشكل بعد الجراحة.
- · الأجسام الأجنبية (وهي مواد تُبتلع وتسد الأمعاء).
- · الحصيات المرارية (بشكل نادر).
- · الفتوق.
- · انحشار البراز.
- · الانغلاف intussusception (وهو دخول قطعة من الأمعاء في قطعة أخرى).
- · الأورام التي تسد الأمعاء.
- · الانفتال volvulus (تفتل الأمعاء).
ما أعراض انسداد الأمعاء ؟
- تتضمن أعراض وعلامات انسداد الأمعاء ما يلي:
- · ألم بطني مغصي يأتي ويذهب.
- · غثيان.
- · تقيؤ.
- · إسهال.
- · إمساك.
- · عدم القدرة على التبرز أو إخراج الغازات.
- · انتفاخ البطن (التمدد distention).
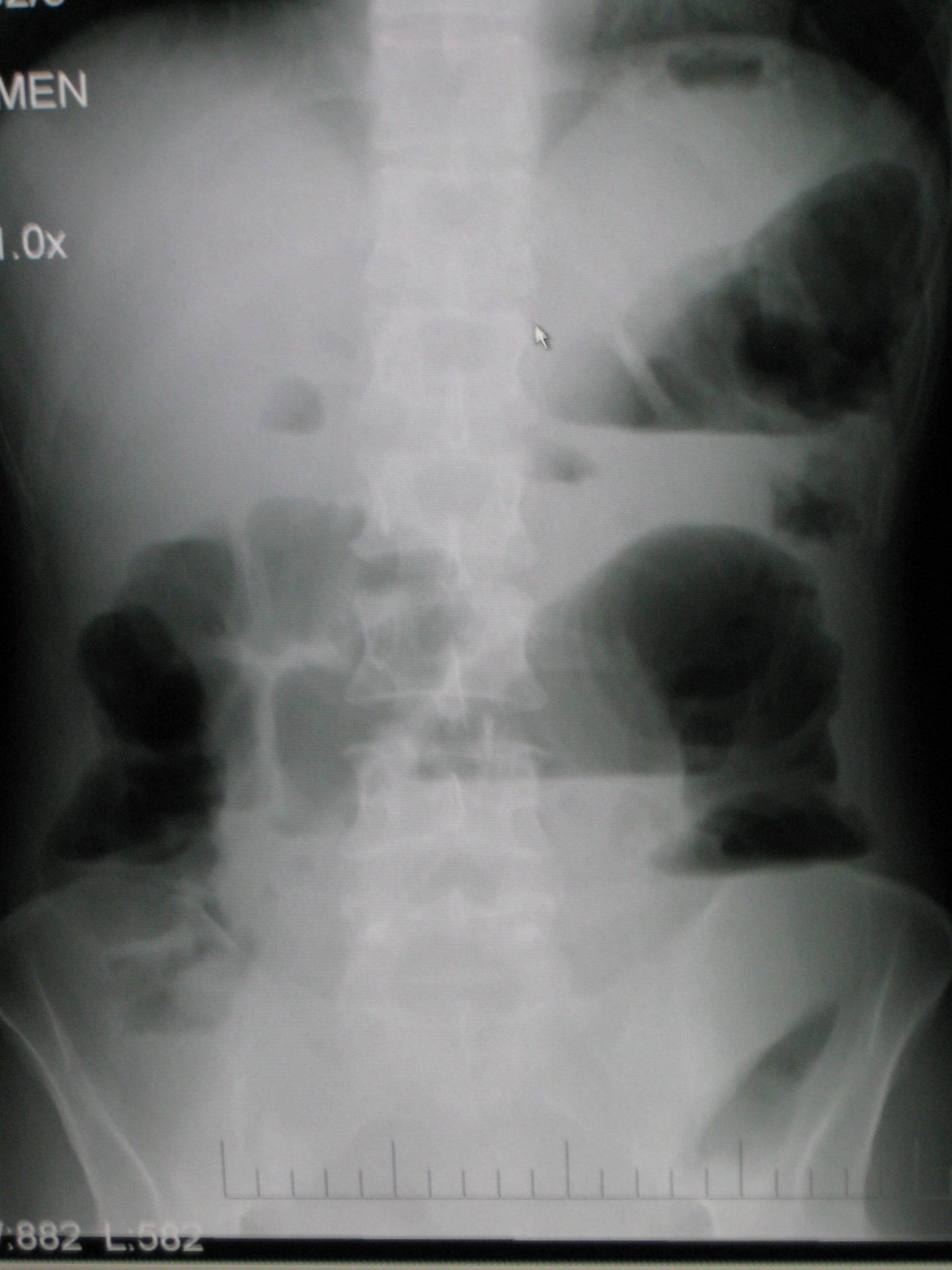
الاختبارات والفحوص
قد يكتشف الطبيب أثناء إجراء الفحص الجسدي وجود انتفاخ أو مضض tenderness أو فتوق في البطن. وتتضمن الفحوص التي تظهر الانسداد ما يلي:
- الصورة المقطعية المحوسبة للبطن.

- صورة البطن البسيطة.
- رحضة الباريوم .
- التصاوير الهضمية العلوية أو السفلية.
علاج الانسداد المعوي
الانسداد المعوي حالة إسعافية تتطلب علاجاً طبياً فورياً، ويجب عدم محاولة علاجها في المنزل. وتعتمد المعالجة المناسبة على نوع الانسداد المعوي.
قد نلجأ في البداية لإدخال أنبوب مرن عبر أنف المريض أو فمه لسحب السوائل والغازات، وهذا سيخفف انتفاخ البطن. تحتاج معظم حالات انسداد الأمعاء للجراحة. وربما يحتاج المريض لإعطاء السوائل عبر الوريد لمدة تصل إلى 6-8 ساعات لتخفيف التجفاف لاستعادة مستويات الكهارل في الجسم وللوقاية من حدوث صدمة أثناء الجراحة. ونعطي هذا العلاج في المستشفى أو في مرافق الرعاية الصحية المجازة الأخرى.
في حال موت جزء الأمعاء المصاب، قد يجري الجراح استئصالاً لإزالة النسج الميتة وإعادة لحم نهايتي الأمعاء السليمتين.



جيد